DOI:
10.37988/1811-153X_2025_4_142Сравнительная оценка клеточного состава экссудата при использовании различных раневых повязок после удаления третьего моляра нижней челюсти
Загрузки
Аннотация
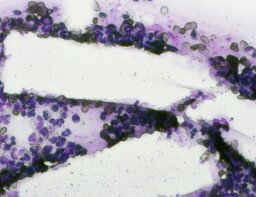
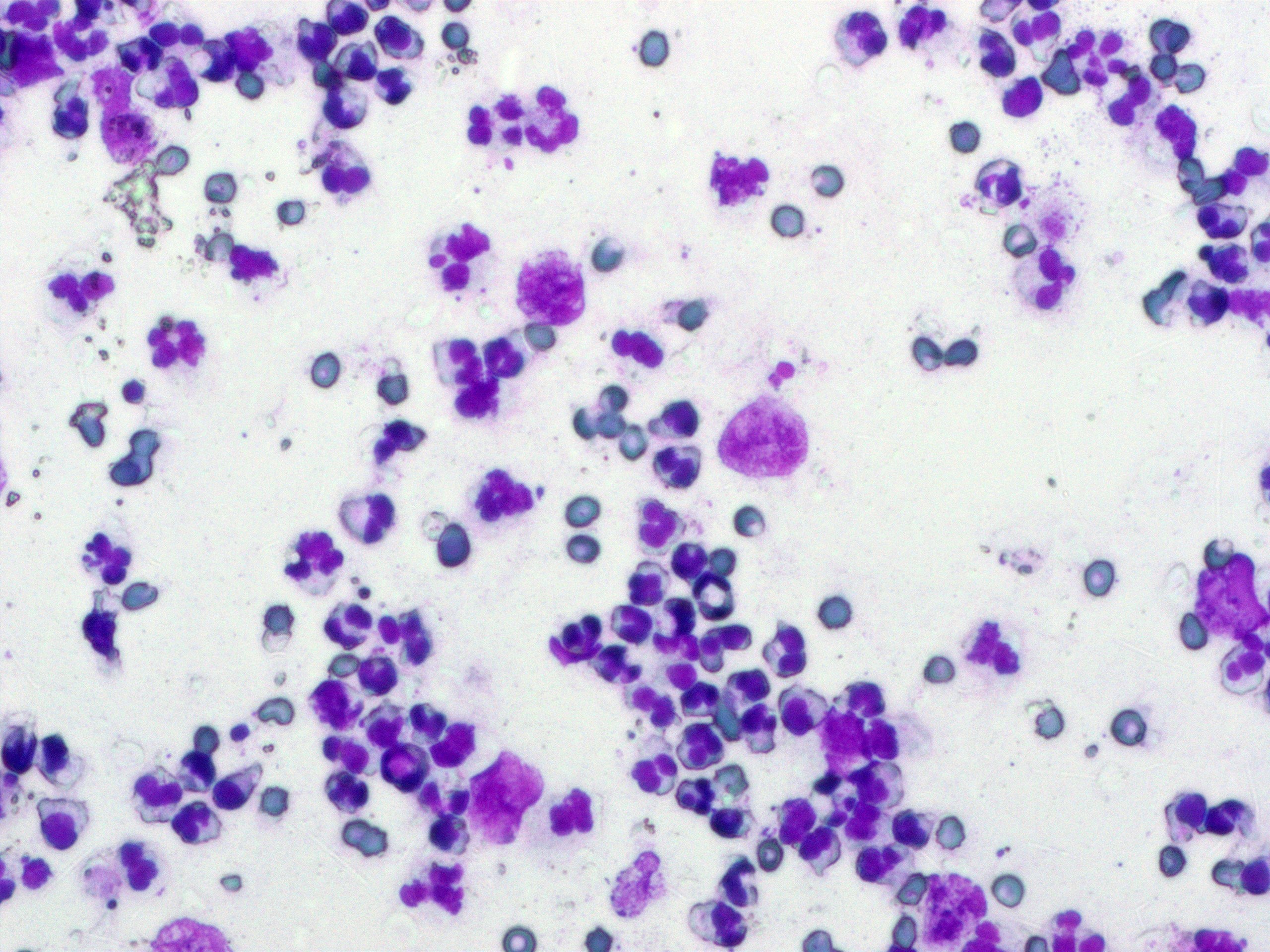
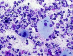
Удаление нижнего третьего моляра — один из основных методов хирургического лечения пациентов при его затрудненном прорезывании. Особого внимания заслуживает ведение послеоперационной раны после удаления нижнего третьего моляра. При ведении раны под раневой повязкой принято использовать йодоформную турунду, повязки на основе коллагена. В настоящее время в хирургической практике применяются гелеобразующие препараты на основе альгината кальция. Актуальной представляется сравнительная оценка клеточного состава экссудата при использовании различных раневых повязок после удаления третьего моляра нижней челюсти. Цель исследования — провести сравнительную оценку результатов цитологического исследования клеточного экссудата, взятого с поверхности раны в послеоперационном периоде при хирургическом стоматологическом лечении пациентов с затрудненным прорезыванием третьего нижнего моляра при помощи различных раневых повязок.Материалы и методы. Проведено исследование с участием 120 пациентов, которым было показано сложное удаление нижнего третьего моляра. В зависимости от метода ведения послеоперационной раны пациенты были разделены на 4 группы по 30 человек. Забор экссудата для получения мазка-отпечатка производили стерильным латексным изделием с последующим переносом на стекло на 1, 3 и 7-е сутки после операции, который высушивали и направляли на цитологическое исследование. Цитологические мазки раневого отделяемого окрашивали азур-эозином и анализировали с подсчетом 100 лейкоцитов.
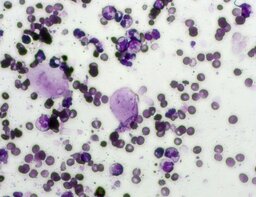
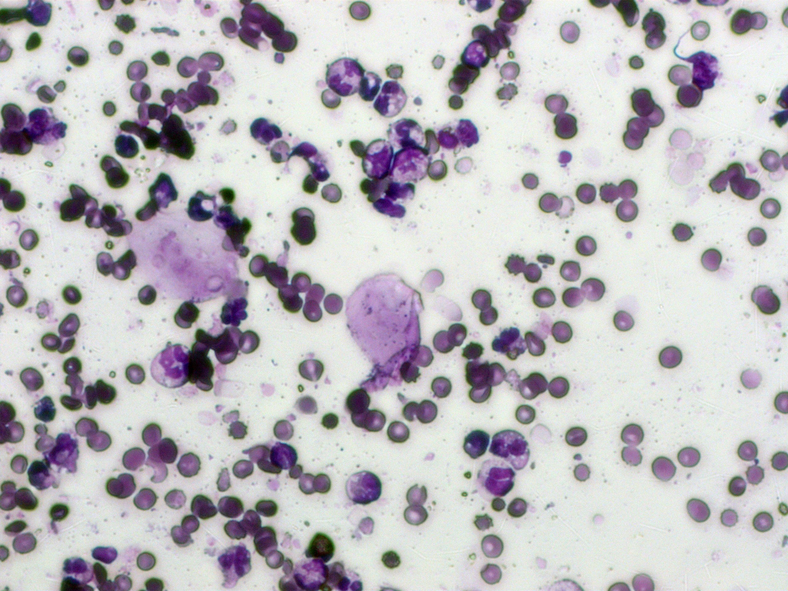
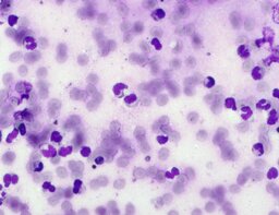
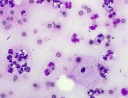
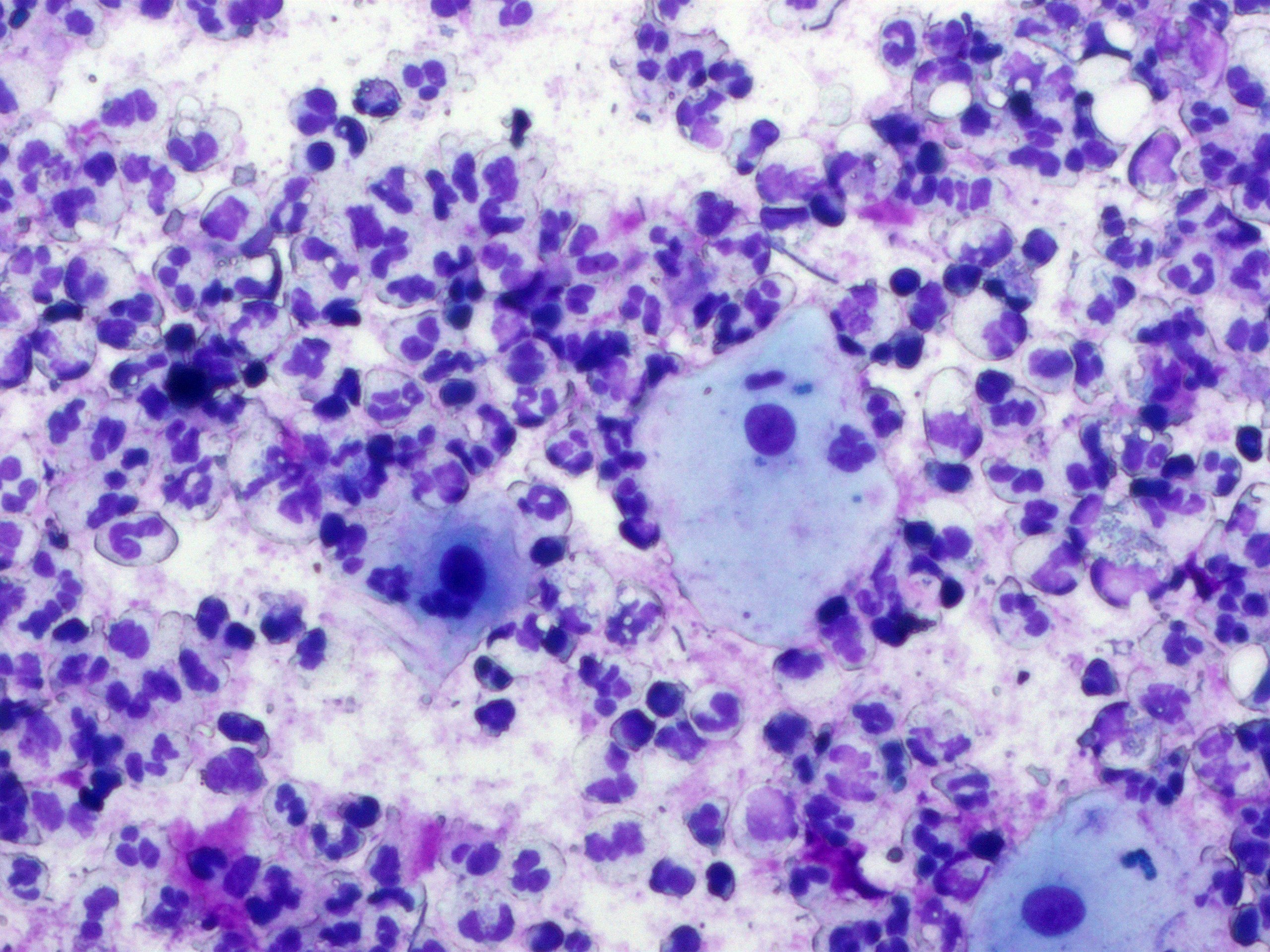
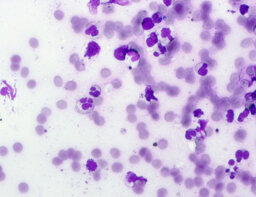
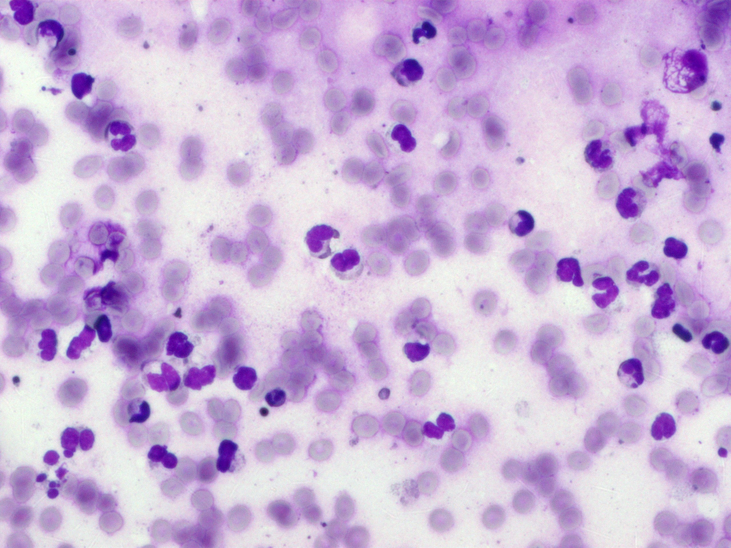
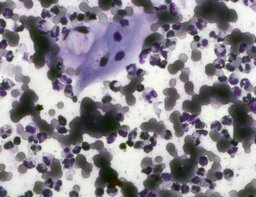
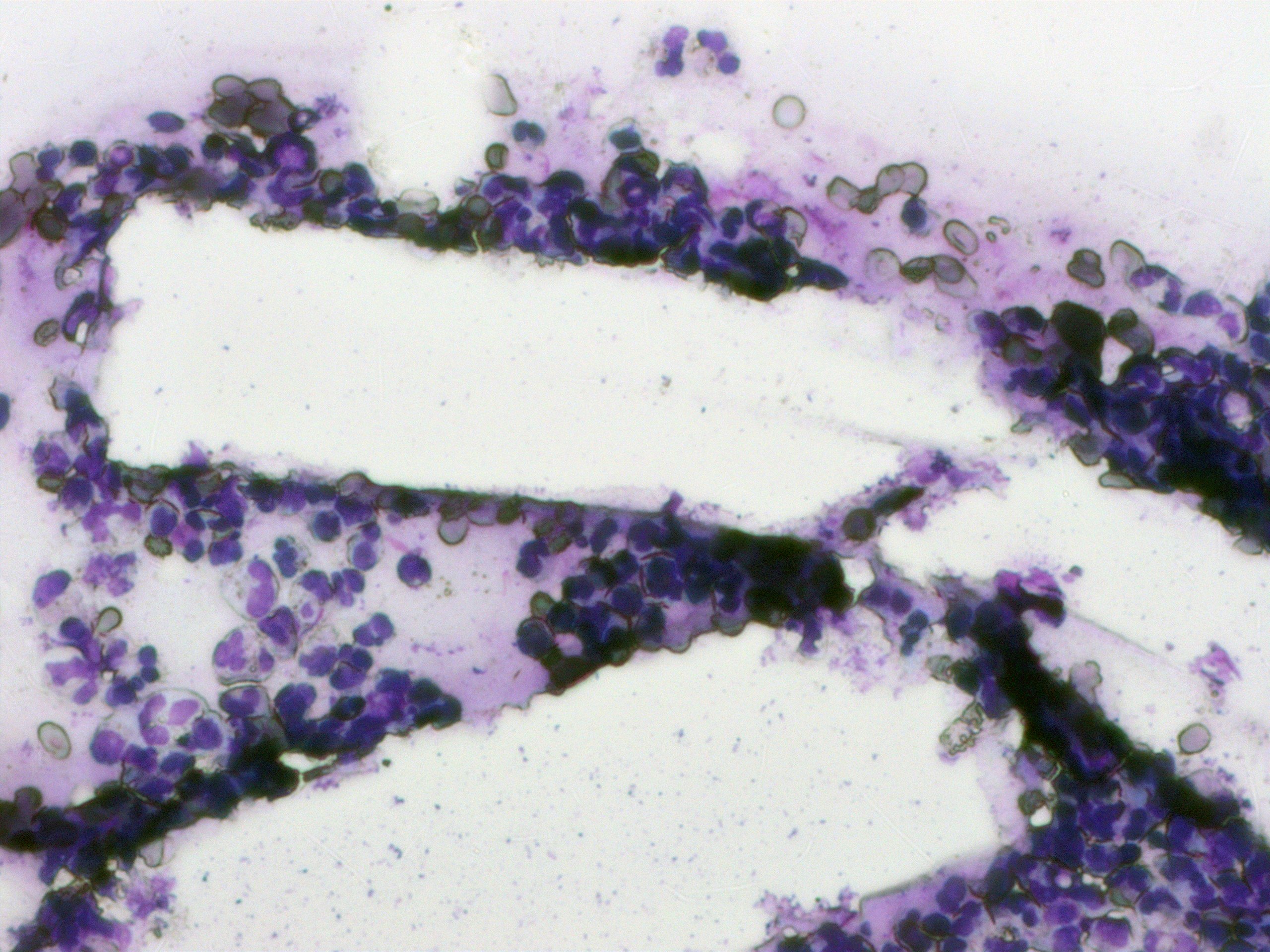
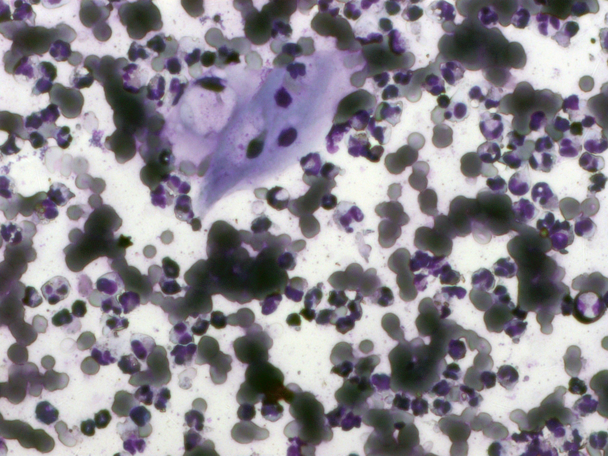
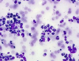
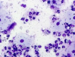
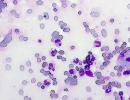
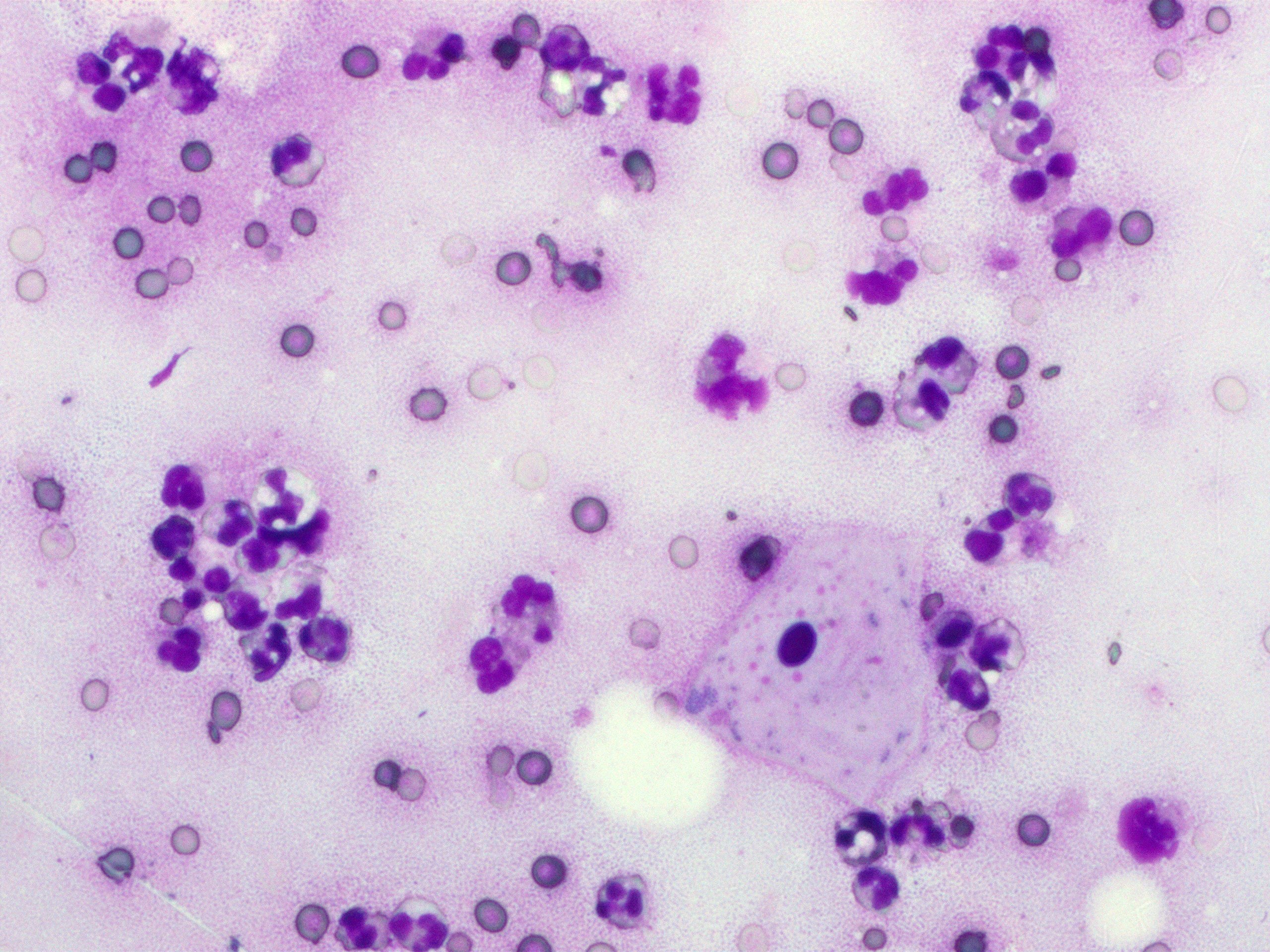
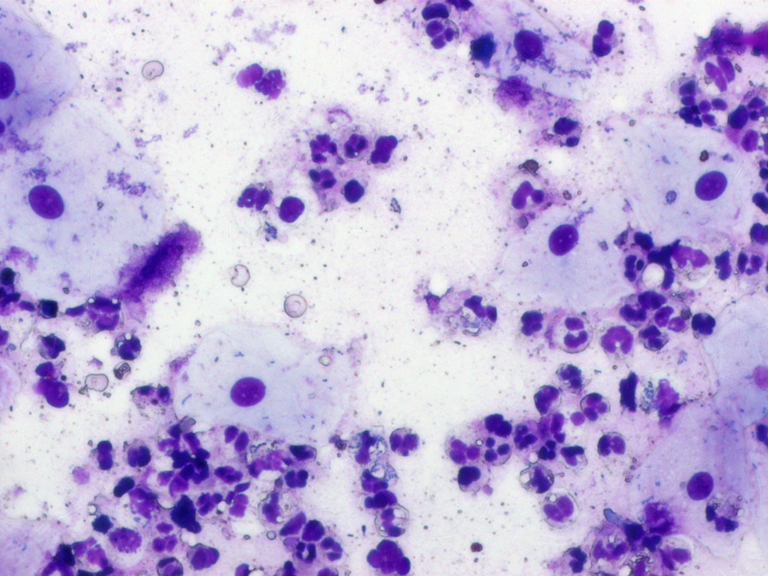
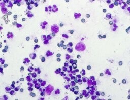
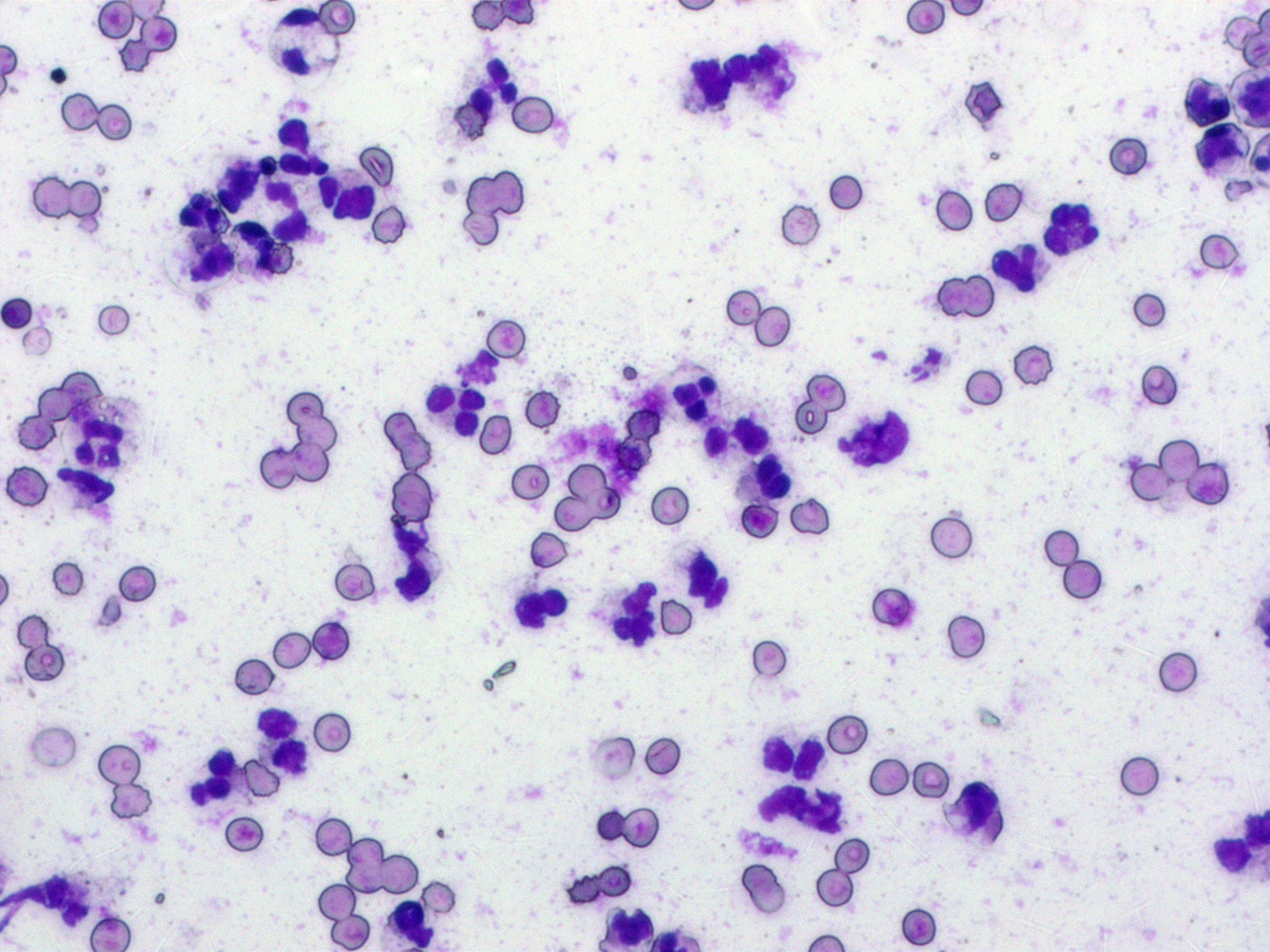
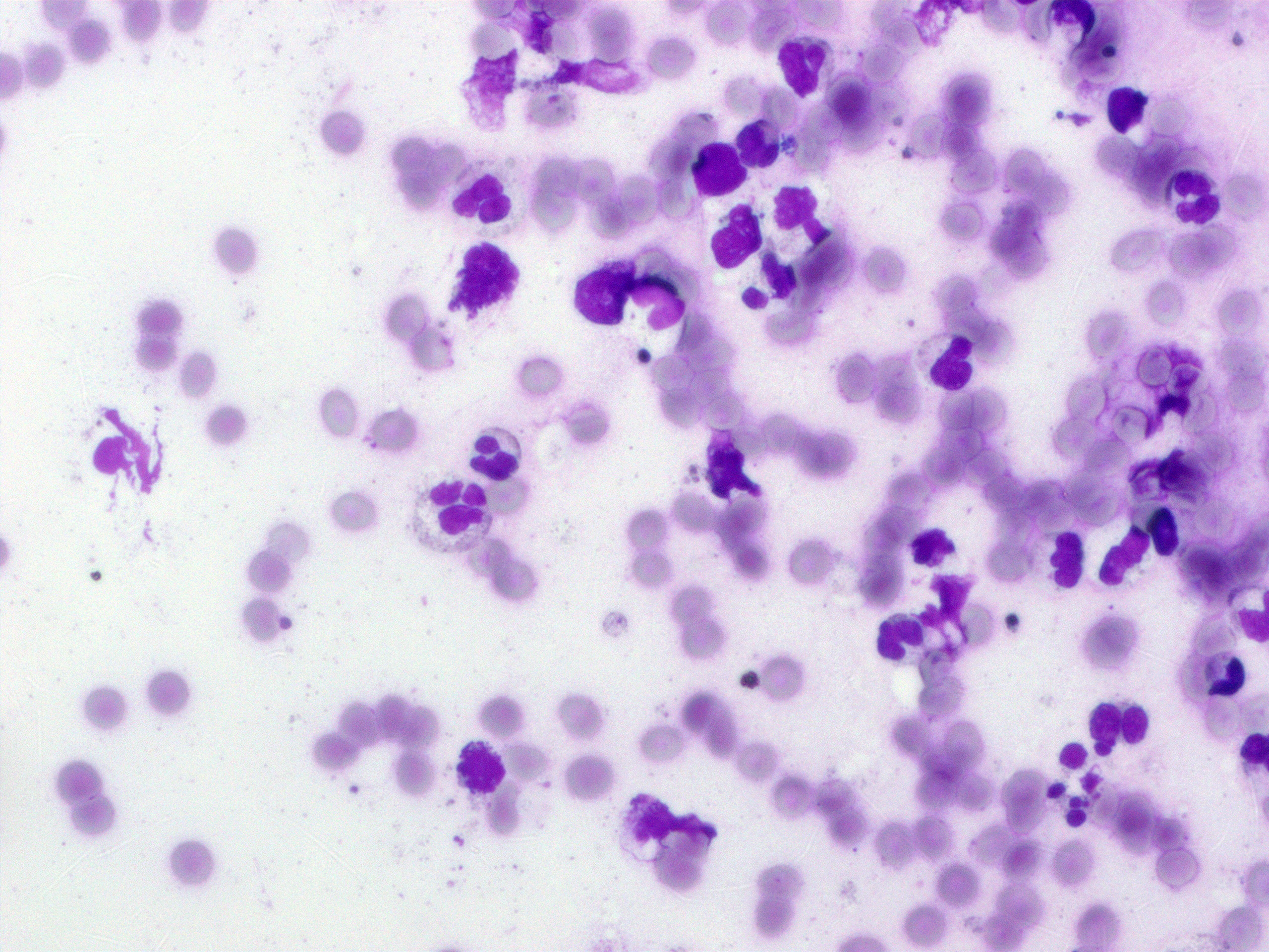
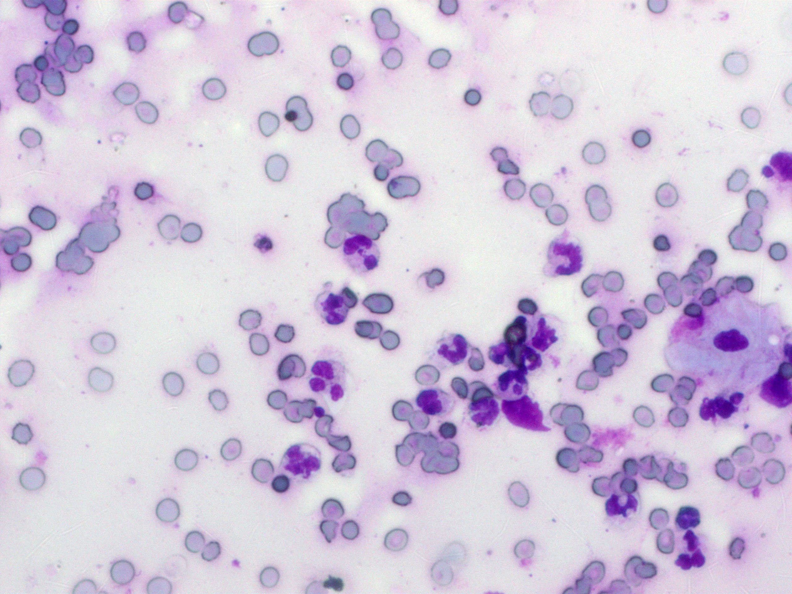
Результаты. Анализ клеточного состава экссудата из области лунки удаленного нижнего третьего моляра показал, что при использовании йодоформной турунды к 3-м суткам наблюдались признаки развивающегося гнойного воспаления (агрегация эритроцитов, колонии микроорганизмов) и нарастающей реакции на инородное тело (увеличение доли моноцитов), тогда как другие раневые повязки не вызывали выраженных признаков гнойного процесса по данным цитологического исследования.
Заключение. Использование раневых повязок на основе коллагена, альгината кальция и их комбинации показало, что вышеупомянутые повязки демонстрируют сопоставимые результаты по уровню воспалительной реакции и клеточного состава экссудата, что свидетельствует об их равной эффективности в ведении послеоперационной раны и профилактике гнойно-воспалительных осложнений.
Ключевые слова:
нижний третий моляр, коллаген, йодоформная турунда, альгинат кальция, раневая повязка, цитологияДля цитирования
[1]
Цициашвили А.М., Волков А.В., Панин А.М., Карпова Ю.В., Мирзоян Д.Д. Сравнительная оценка клеточного состава экссудата при использовании различных раневых повязок после удаления третьего моляра нижней челюсти. — Клиническая стоматология. — 2025; 28 (4): 142—148. DOI: 10.37988/1811-153X_2025_4_142
Список литературы
- Дружинин А.Е., Ломакин М.В., Солощанский И.И., Китаев В.А. Усовершенствованный подход к комплексному хирургическому лечению ретенции и дистопии третьих моляров. Практическое руководство. — М.: Меркурий, 2021. — С. 4—5.
- Дружинин А.Е., Ломакин М.В., Солощанский И.И., Дунаев М.В., Китаев В.А., Балукова И.П. Ретроспективная оценка результатов хирургического лечения пациентов с ретенцией и дистопией третьих нижних моляров. — Российская стоматология. — 2013; 2: 26—30. eLIBRARY ID: 20810066
- Ломакин М.В., Солощанский И.И., Дружинин А.Е. Контроль заживления костной раны при хирургическом лечении ретенции и дистопии третьих нижних моляров. — Российская стоматология. — 2014; 2: 4—7. eLIBRARY ID: 22364419
- Sigron G.R., Pourmand P.P., Mache B., Stadlinger B., Locher M.C. The most common complications after wisdom-tooth removal: part 1: a retrospective study of 1,199 cases in the mandible. — Swiss Dent J. — 2014; 124 (10): 1042—6, 1052—6. PMID: 25342545
- Семкин В.А., Гурин А.Н., Витренко Д.В., Левченко Д.Д. Профилактика воспалительных осложнений после удаления третьих моляров нижней челюсти. — Стоматология. — 2022; 3: 38—43. eLIBRARY ID: 48615525
- Velasquez D., Araújo M.G., Clem D.S., Gunsolley J.C., Heard R.H., Janakievski J., McClain P.K., McGuire M.K., Misch C.M., Nevins M., Pickering S., Pope B., Richardson C., Santarelli G., Scheyer E.T., Schallhorn R., Toback G. A Prospective, randomized, controlled, multicenter evaluation of extraction socket management comparing a wound dressing and a soft tissue substitute. — Int J Periodontics Restorative Dent. — 2022; 42 (6): e161—e174. PMID: 36305922
- Fazal S., Naseer R., Mansoor N., Siddiqi K.M., Sohail K., Hafeez R. Comparison of primary and secondary wound closure outcome after mandibular 3rd molar impaction surgery. — Pakistan Oral & Dental Journal. — 2021; 41 (3): 169—172.
- Jain S., Kumawat V. Jasleen, Singh A., Rana S.R., Vigneshwar. Comparison of healing of extraction socket with and without suture following third molar surgery: A prospective controlled clinical study. — Journal of Research and Advancement in Dentistry. — 2017; 6 (3): 35—42.
- Balamurugan R., Zachariah T. Comparison of primary and secondary closure with a buccal mucosal-advancement flap on postoperative course after mandibular impacted third molar surgery. — Oral Maxillofac Surg. — 2020; 24 (1): 37—43. PMID: 31729607
- Григорьян А.Ю., Бежин А.И., Панкрушева Т.А., Суковатых Б.С. Местная терапия гнойных ран раневыми покрытиями. — Хирургия. Журнал им. Н.И. Пирогова. — 2022; 11: 42—48. eLIBRARY ID: 49789737
- Singh V., Das S., Sharma N.K. Iodoform: A boon in disguise. — Open Journal of Stomatology. — 2012; 2: 322—325. DOI: 10.4236/ojst.2012.24055
- Onyekwelu I., Yakkanti R., Protzer L., Pinkston C.M., Tucker C., Seligson D. Surgical wound classification and surgical site infections in the orthopaedic patient. — J Am Acad Orthop Surg Glob Res Rev. — 2017; 1 (3): e022. PMID: 30211353
- Хэмм Р.Л. Раны. Диагностика и лечение: атлас-справочник (пер. с англ). — М.: ГЭОТАР-Медиа, 2023. — С. 391—393.
- Chen L., Shen R., Komasa S., Xue Y., Jin B., Hou Y., Okazaki J., Gao J. Drug-loadable calcium alginate hydrogel system for use in oral bone tissue repair. — Int J Mol Sci. — 2017; 18 (5): 989. PMID: 28481253
- Gustinelli Barbosa M.A., Paggiaro A.O., Fernandes de Carvalho V., Isaac C., Gemperli R. Effects of hydrogel with enriched sodium alginate in wounds of diabetic patients. — Plast Surg Nurs. — 2020; 40 (2): 110—115. PMID: 32459760
- Будко Е.В., Черникова Д.А., Ямпольский Л.М., Яцюк В.Я. Местные гемостатические средства и пути их совершенствования. — Российский медико-биологический вестник им. акад. И.П. Павлова. — 2019; 2: 274—285. eLIBRARY ID: 38220877
Загрузки
Поступила
23.10.2025
Принята
04.12.2025
Опубликовано
18.12.2025







